上部消化管
近年、上部消化管疾患に対する内視鏡的診断・治療は著しく進歩しております。
当科では年間約3500例の上部消化管内視鏡検査を行っています。通常の内視鏡観察に加えて、色素内視鏡(インジコカルミン、ヨードなど)、画像強調観察(NBIなど)、拡大内視鏡観察、超音波内視鏡などを使用し、病態にアプローチしています。
治療内視鏡としては、polypに対するEMR(内視鏡的粘膜切除)や、静脈瘤に対するEVL・EIS(内視鏡的結紮術・硬化療法)に加えて、早期がんに対するESD(内視鏡的粘膜下層剥離術)や、EUS-FNA(超音波内視鏡下穿刺生検法)関連手技であるEUSガイド下膵嚢胞ドレナージ術、また、食道アカラシアに対する低侵襲内視鏡治療であるPOEM(経口内視鏡的筋層切開術)を積極的に行っております。
ESD(内視鏡的粘膜下層剥離術)
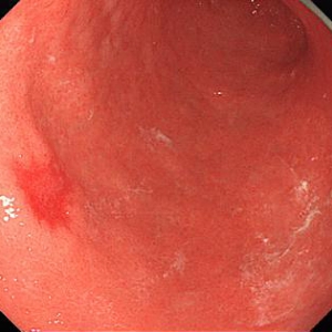
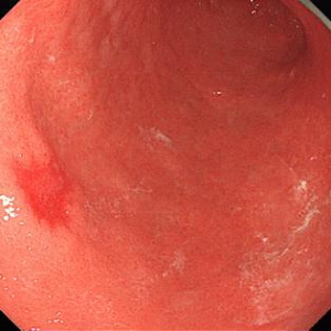
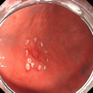
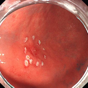
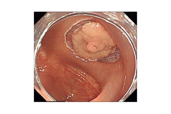
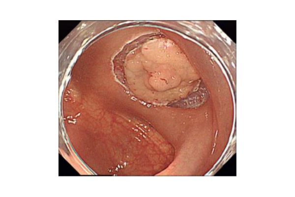
食道表在癌、早期胃癌の治療法として当科では積極的にESDを行っています。ESDとは内視鏡的に使用可能な高周波メスを使って、粘膜下層のレベルで病変を剥がし取る手技です。早期の小さな癌に対しては今までも内視鏡治療が行われてきましたが、ESDにより従来の内視鏡治療法(EMR)では切除困難であった大きな病変や、瘢痕を認める病変を一括切除できるようになりました。体を切開することなく組織も温存できるため、患者の身体的負担が少ない低侵襲医療のひとつです。
食道ESDは年間約15例、胃ESDは年間約40例ほど行っております。
《胃ESDの実際》
POEM(経口内視鏡的筋層切開術)
POEMが先進医療として認められました。詳細
食道アカラシアとは下部食道括約筋の異常により、下部食道狭窄、下部食道弛緩不全が起こり、食事が食道から胃へスムーズに流れない病態です。薬物療法や、内視鏡的バルーン拡張術では治療効果が乏しいことが多く、一般的には根治術として外科手術(Heller-Dor法)が行われています。外科手術にて行ってきた筋層切開術を、内視鏡的に行ったものがPOEMであり、その有用性より外科手術に替わる標準術式になりつつあります。POEMは2008年に井上晴洋先生により初めて報告された処置であり、当科では2010年11月に導入し、計11例の症例に対して施行し、良好な治療成績を得ております。
《POEMの実際》
《POEM前後の比較》


下部消化管
当科では年間約1500例の下部消化管内視鏡検査を行っています。通常の内視鏡観察に加えて、色素内視鏡(インジコカルミンなど)、画像強調観察(NBIなど)、拡大内視鏡観察、超音波内視鏡などを使用し、病態にアプローチしています。
治療内視鏡として、polypに対するEMR(内視鏡的粘膜切除)や、早期がんなどに対するESD(内視鏡的粘膜下層剥離術)を積極的に行っています。
ESD(内視鏡的粘膜下層剥離術)
ESDとは内視鏡的に使用可能な高周波メスを使って、粘膜下層のレベルで病変を剥がし取る手技です。当科では、従来の内視鏡治療(EMR)では、一括切除が困難と思われる大腸腫瘍に対して積極的にESDを行っております。体を切開することなく組織も温存できるため、患者の身体的負担が少ない低侵襲医療のひとつです。
大腸ESDは年間約15例ほど行っております。
《大腸ESDの実際》
小腸
以前小腸は「暗黒大陸」といわれた時期があるほど、なかなか有効な検査がありませんでした。2001年よりカプセル内視鏡、バルーン内視鏡という小腸粘膜を直接観察できる検査が登場したことにより、小腸領域の診断・治療はめざましく発展しております。
当院では2009年にカプセル内視鏡、2010年にバルーン内視鏡を導入いたしました。
カプセル内視鏡は26mm×11mmの小さいカプセル状の内視鏡の機械を飲み込んで、消化管内を撮影していく検査法です。カプセルが胃腸の動きに合わせて腸管内を移動していき、その間1秒間に2枚ずつ写真を撮影していきます。最後にその写真をコンピュータで編集し、1本の動画にして、内視鏡医が観察、診断します。カプセル内視鏡の利点は、簡便性です。患者さまへの身体的な苦痛はほとんどないため、小腸のスクリーニング検査として最適です。2011年よりすべての小腸疾患が疑われる症例に対して検査が行えるようになったため、ますます身近な検査となっていくことと思います。
当院では現在まで約200例のカプセル検査を実施しており、多くの症例の診断に貢献してきました。このような経験を反映し、今年度よりカプセル内視鏡学会指導施設に承認される予定です。

小腸潰瘍
一方でバルーン内視鏡検査は、約5mある小腸粘膜を直接観察することができます。カプセル内視鏡と比較して苦痛を伴う検査となりますが、組織生検や内視鏡治療が実施できることが利点です。現在当院では約100例のバルーン内視鏡検査を行ってきました。実際行った治療としては、小腸がんや小腸ポリープの内視鏡的切除、小腸出血に対しての内視鏡的止血術、小腸が狭くなって便が通らなくなった患者に対して、内視鏡的バルーン拡張術などがあります。



















